11 yaşındaki çocuğun 81 dişi olduğu tespit edildi!
Brezilya’da 11 yaşındaki bir kız çocuğunda tespit edilen sıra dışı diş sayısı, tıp dünyasında dikkat çekti. Yapılan incelemelerde çocuğun ağzında toplam 81 diş bulunduğu belirlendi. Bu durumun, oldukça nadir görülen “çoklu hiperdonti” vakalarından biri olduğu bildirildi.

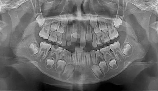
Röntgen Sonuçları Şaşırttı
Çekilen röntgen filmlerinde, çocuğun ağzında 18 süt dişi, 32 kalıcı diş ve bunlara ek olarak 31 adet “süpernümerer” olarak adlandırılan fazla diş bulunduğu ortaya çıktı. Yetişkinlerde normal kabul edilen 32 kalıcı diş sayısının çok üzerinde olan bu durumun, tıbbi literatürde istisnai vakalar arasında yer aldığı belirtildi.
Basit Bir Diş Çekimi İçin Başvurmuştu
VN Express’in aktardığı bilgilere göre, Brezilya’da yaşayan çocuk, üst çenesindeki bir süt dişini çektirmek amacıyla hastaneye başvurdu. Herhangi bir belirgin şikâyeti bulunmayan çocuğun durumunun, rutin röntgen çekimi sırasında fark edildiği ifade edildi.
Vaka Bilimsel Olarak Doğrulandı
Durum, Minas Gerais eyaletindeki Juiz de Fora Federal Üniversitesi’nden bir araştırma ekibi tarafından yapılan muayenelerle doğrulandı. Elde edilen bulgular, American Journal of Orthodontics and Dentofacial Orthopedics dergisinde yayımlandı.
Çoklu Hiperdonti Nedir?
Çoklu hiperdonti, bireyin doğuştan normal diş sayısının üzerinde ek dişlere sahip olması olarak tanımlanıyor. Çoğu vakada bir veya iki fazla diş görülürken, bu olayda olduğu gibi onlarca fazla dişin bulunması son derece nadir kabul ediliyor.
Genetik İncelemeler Yapıldı
Araştırma ekibi, fazla dişlerin konumunu ileri görüntüleme yöntemleriyle belirledi. Yapılan incelemelerde, bu durumla sıklıkla ilişkilendirilen kleidokraniyal disostoz, Gardner sendromu veya yarık damak gibi hastalıklara rastlanmadı.
Ancak genetik testlerde, kromozom 9’un bazı bölümlerinde yapısal bir değişiklik (kromozom inversiyonu) tespit edildi. Araştırmacılar, bu genetik farklılığın fazla diş oluşumuyla doğrudan bağlantısının henüz netlik kazanmadığını belirtti.
Tedavi İçin Uzman Ekip Oluşturuldu
Fazla dişlerin bir kısmının diş etine gömülü olması ve çene kemiğine yakın konumda bulunması nedeniyle, tedavi sürecinin dikkatle planlanması gerektiği ifade edildi. Kontrolsüz müdahalelerin çene yapısına zarar verebileceği vurgulandı.
Bu nedenle ortodonti, ağız ve çene cerrahisi, periodontoloji ve protetik diş hekimliği alanlarından uzmanların yer aldığı multidisipliner bir ekip oluşturularak uzun vadeli bir tedavi planı hazırlandı.
Araştırmacılar, genetik bir hastalık tespit edilmeyen bir çocukta bu denli fazla diş görülmesinin insan gelişimindeki biyolojik çeşitliliği ortaya koyduğunu belirterek, düzenli diş kontrollerinin erken teşhis açısından büyük önem taşıdığına dikkat çekti.
KAYNAK:İHA
