Sedat Peker Gündeme Getirdi, ÇED İptali Geldi
Defalarca işletmecisi el değiştiren Sedat Peker'in "çökme" iddiasıyla ifşa ettiği otelin ÇED sürecini Bakanlık iptal etti. Bodrum Paramount Hotel suç...
Defalarca işletmecisi el değiştiren Sedat Peker'in "çökme" iddiasıyla ifşa ettiği otelin ÇED sürecini Bakanlık iptal etti. Bodrum Paramount Hotel suç...
Olay, dün akşam saatlerinde Yenişehir ilçesi Fabrika Mahallesi’nde bulunan bir sitede meydana geldi. Mülk sahibinin boş bir dairede yaptığı kontrol...
Şanlıurfa’nın Birecik ilçesi merkezinde bulunan Kelaynak Caddesi üzerinde, trafik güvenliğini hiçe sayarak aracıyla drift atan bir sürücü, polis ekipleri tarafından...
2025 yılı futbol dünyası için görkemli anlara sahne olsa da, piyasa değeri bazında pek çok dünya yıldızı için "serbest düşüş"...
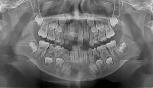
Brezilya’da 11 yaşındaki bir kız çocuğunda tespit edilen sıra dışı diş sayısı, tıp dünyasında dikkat çekti. Yapılan incelemelerde çocuğun ağzında...
Kaza, Şanlıurfa’nın Siverek ilçesine bağlı Yoğunca kırsal mahallesi yolu üzerinde meydana geldi. Edinilen bilgilere göre, sürücüsü henüz öğrenilemeyen 06 VHT...
Kış mevsiminde bağışıklık sistemini güçlü tutmanın önemi yeniden gündeme geliyor. Soğuyan hava, kapalı ortamlarda geçirilen uzun saatler ve azalan güneş...
Suriye’nin Humus şehrinde, Vadi Ez-Zeheb Mahallesi’nde bulunan İmam Ali bin Ebu Talib Cami’de patlama meydana geldi. İlk belirlemelere göre 5...
Ağrı'nın Doğubayazıt ilçesindeki cezaevinde kalan 28 yaşındaki bir hükümlü, intihar girişimi sonrası Dr. Yaşar Eryılmaz Devlet Hastanesi'ne getirildi. Acil serviste...
Şanlıurfa Şûrâsı, ilde son yıllarda artış gösteren asayiş olayları, bireysel silahlanma ve silahla işlenen suçları ele almak üzere bir toplantı...